ΠΠ°Π²Π΅Π» ΠΠ½Π΄ΡΠ΅Π΅Π² Π΅ ΡΠΎΡΠΈΠ°Π»Π΅Π½ ΠΏΡΠ΅Π΄ΠΏΡΠΈΠ΅ΠΌΠ°Ρ, ΡΠΈΠ»Π°Π½ΡΡΠΎΠΏ ΠΈ ΠΎΡΠ½ΠΎΠ²Π°ΡΠ΅Π» (CEO) Π½Π° Π³Π»ΠΎΠ±Π°Π»Π½Π°ΡΠ° ΠΏΠ»Π°ΡΡΠΎΡΠΌΠ° Π·Π° Π½Π°Π±ΠΈΡΠ°Π½Π΅ Π½Π° ΡΡΠ΅Π΄ΡΡΠ²Π° PavelAndreev.ORG.
ΠΠ° ΠΎΡΠΊΡΠΈΠ΅Ρ ΠΏΠΎΠ΄ΡΡΠΈΠ½Π° ΠΈΠ»ΠΈ Π±ΡΡΠΊΠ° Π² ΠΊΠΎΡΡΠΎ ΠΈ Π΄Π° Π΅ ΡΠ°ΡΡ Π½Π° ΡΡΠ»ΠΎΡΠΎ ΠΌΠΎΠΆΠ΅ Π΄Π° Π±ΡΠ΄Π΅ ΠΏΡΠΈΡΠ΅ΡΠ½ΠΈΡΠ΅Π»Π½ΠΎ. Π ΠΏΠΎ-Π³ΠΎΠ»ΡΠΌΠ°ΡΠ° ΡΠΈ ΡΠ°ΡΡ ΡΠ΅ ΡΠ° Π±Π΅Π·Π²ΡΠ΅Π΄Π½ΠΈ, Π½ΠΎ Π²ΠΈΠ½Π°Π³ΠΈ Π΅ ΠΏΡΠ΅ΠΏΠΎΡΡΡΠΈΡΠ΅Π»Π½ΠΎ Π΄Π° Π·Π½Π°Π΅ΠΌ ΠΊΠΎΠ³Π° Π΄Π° ΠΏΠΎΡΡΡΡΠΈΠΌ ΡΡΠ²Π΅Ρ ΠΎΡ Π»Π΅ΠΊΠ°Ρ.
ΠΠ°ΠΉ-ΡΠ΅ΡΡΠΎ ΡΡΠ΅ΡΠ°Π½ΠΈΡΠ΅ ΠΏΠΎΠ΄ΡΡΠΈΠ½ΠΈ ΠΈ Π±ΡΡΠΊΠΈ, ΠΊΠΎΠΈΡΠΎ ΡΠ΅ ΠΏΠΎΡΠ²ΡΠ²Π°Ρ ΠΏΠΎ ΠΌΠ΅ΠΊΠΈΡΠ΅ ΡΡΠΊΠ°Π½ΠΈ ΡΠ° Π»ΠΈΠΏΠΎΠΌΠΈ. ΠΠ·Π³ΡΠ°Π΄Π΅Π½ΠΈ ΠΎΡ ΠΌΠ°ΡΡΠ½ΠΈ ΠΊΠ»Π΅ΡΠΊΠΈ, Π»ΠΈΠΏΠΎΠΌΠΈΡΠ΅ ΡΡΠ΄ΠΊΠΎ ΠΏΡΠΎΠΌΠ΅Π½ΡΡ ΡΠ²ΠΎΡ ΡΠ°Π·ΠΌΠ΅Ρ, Π»Π΅ΡΠ½ΠΎ ΠΏΠΎΠ΄Π²ΠΈΠΆΠ½ΠΈ ΡΠ° ΠΈ Π½Π΅ ΡΠ° ΡΠ°ΠΊΠΎΠ²ΠΈ ΠΎΠ±ΡΠ°Π·ΡΠ²Π°Π½ΠΈΡ.

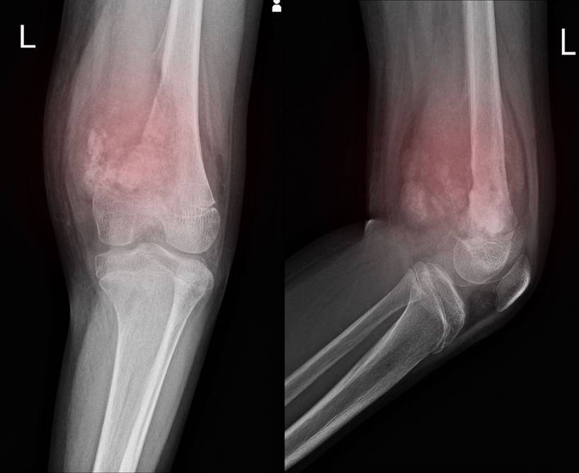
ΠΠΎΠ΄ΡΡΠΈΠ½Π°, ΠΏΡΠΈΡΠΈΠ½Π΅Π½Π° ΠΎΡ ΡΠ°ΡΠΊΠΎΠΌΠ° Π½Π° ΠΌΠ΅ΠΊΠΈΡΠ΅ ΡΡΠΊΠ°Π½ΠΈ, ΡΠ΅ ΠΏΠΎΡΠ²ΡΠ²Π° Π²Π½Π΅Π·Π°ΠΏΠ½ΠΎ ΠΏΠΎΠ΄ ΡΠΎΡΠΌΠ°ΡΠ° Π½Π° Π·Π°ΠΎΠ±Π»Π΅Π½Π° ΠΏΠΎΠ΄ΠΊΠΎΠΆΠ½Π° ΠΌΠ°ΡΠ°. ΠΠ±ΠΈΡΠ°ΠΉΠ½ΠΈΡΠ΅ ΠΌΠ΅ΡΡΠ° ΡΠ° ΡΡΠΊΠ°ΡΠ°, ΠΊΡΠ°ΠΊΠ°, Π³ΡΡΠ΄Π½ΠΈΡ ΠΊΠΎΡ ΠΈΠ»ΠΈ ΡΠΎΡΡΠ°.
ΠΠΎΠ΄ΡΡΠΈΠ½Π°ΡΠ° ΠΌΠΎΠΆΠ΅ Π΄Π° Π±ΡΠ΄Π΅ ΠΌΠ΅ΠΊΠ° ΠΈΠ»ΠΈ ΡΠ²ΡΡΠ΄Π° ΠΈ ΡΠ°ΡΡΠ΅ Π·Π°Π±Π΅Π»Π΅ΠΆΠΈΠΌΠΎ Π² ΡΠ°ΠΌΠΊΠΈΡΠ΅ Π½Π° ΡΠ΅Π΄ΠΌΠΈΡΠΈ ΠΈ ΠΌΠ΅ΡΠ΅ΡΠΈ ΡΠ»Π΅Π΄ ΠΏΡΡΠ²ΠΎΠ½Π°ΡΠ°Π»Π½ΠΎΡΠΎ ΠΉ ΠΎΡΠΊΡΠΈΠ²Π°Π½Π΅.
ΠΠ·Π²Π΅ΡΡΠ½ΠΈ ΡΠ° Π½Π°Π΄ 100 ΡΠ°Π·Π»ΠΈΡΠ½ΠΈ Π²ΠΈΠ΄Π° ΡΠ°ΡΠΊΠΎΠΌΠ° Π½Π° ΠΌΠ΅ΠΊΠΈΡΠ΅ ΡΡΠΊΠ°Π½ΠΈ, ΠΊΠΎΠΈΡΠΎ ΠΏΡΡΠ²ΠΎΠ½Π°ΡΠ°Π»Π½ΠΎ Π·Π°ΠΏΠΎΡΠ²Π°Ρ ΠΎΡ Π³ΡΠ²ΠΊΠ°Π²ΠΈΡΠ΅, Π΅Π»Π°ΡΡΠΈΡΠ½ΠΈ ΠΌΠ΅ΠΊΠΈ ΡΡΠΊΠ°Π½ΠΈ ΠΈ Π΄ΡΠ»Π±ΠΎΠΊΠΈΡΠ΅ ΡΠ°ΡΡΠΈ Π½Π° ΡΡΠ»ΠΎΡΠΎ ΠΊΠ°ΡΠΎ ΠΌΠ°Π·Π½ΠΈΠ½ΠΈΡΠ΅, ΠΌΡΡΠΊΡΠ»ΠΈΡΠ΅, Π½Π΅ΡΠ²ΠΈΡΠ΅, ΡΠΈΠ±ΡΠΎΠ·Π½ΠΈΡΠ΅ ΡΡΠΊΠ°Π½ΠΈ, ΠΊΡΡΠ²ΠΎΠ½ΠΎΡΠ½ΠΈΡΠ΅ ΡΡΠ΄ΠΎΠ²Π΅.
ΠΡΠΏΡΠ΅ΠΊΠΈ, ΡΠ΅ Π΅ ΡΡΠ΄ΠΊΠΎΡΡ, ΡΠ°ΡΠΊΠΎΠΌΠ° ΠΌΠΎΠΆΠ΅ Π΄Π° ΡΠ΅ ΡΠΎΡΠΌΠΈΡΠ° ΠΈ Π² ΠΊΠΎΡΡΠΈΡΠ΅. ΠΠΊΠΎΠ»ΠΎ 1 Π½Π° Π²ΡΠ΅ΠΊΠΈ 100 000 Π΄ΡΡΠΈ Π² Π‘ΡΠ΅Π΄ΠΈΠ½Π΅Π½ΠΈΡΠ΅ ΡΠ°ΡΠΈ Π΅ Π΄ΠΈΠ°Π³Π½ΠΎΡΡΠΈΡΠΈΡΠ°Π½ ΡΡΡ ΡΠ°ΡΠΊΠΎΠΌΠ° Π²ΡΡΠΊΠ° Π³ΠΎΠ΄ΠΈΠ½Π°: Π΅Π΄Π½Π° ΠΈΠ΄Π΅Ρ ΠΏΠΎ-ΡΠ΅ΡΡΠΎ ΡΠ΅ ΡΡΠ΅ΡΠ° ΠΏΡΠΈ ΠΌΡΠΆΠ΅ ΠΎΡΠΊΠΎΠ»ΠΎΡΠΎ ΠΏΡΠΈ ΠΆΠ΅Π½ΠΈ ΠΈ ΠΏΡΠΈ Π°ΡΡΠΎ-Π°ΠΌΠ΅ΡΠΈΠΊΠ°Π½ΡΠΈΡΠ΅ ΡΠ΅ Π½Π°Π±Π»ΡΠ΄Π°Π²Π° Π½Π°ΠΉ-Π²ΠΈΡΠΎΠΊΠΈΡ ΠΏΡΠΎΡΠ΅Π½Ρ Π½Π° ΡΠ°ΡΠΊΠΎΠΌΠ° Π½Π° ΠΌΠ΅ΠΊΠΈΡΠ΅ ΡΡΠΊΠ°Π½ΠΈ.
ΠΠ΅ Π΅ ΠΈΠ·Π²Π΅ΡΡΠ΅Π½ Π±ΡΠΎΡ Π½Π° ΠΏΠ°ΡΠΈΠ΅Π½ΡΠΈΡΠ΅ ΡΡΡ ΡΠ°ΡΠΊΠΎΠΌΠ° Π² ΠΡΠ»Π³Π°ΡΠΈΡ, ΡΡΠΉ ΠΊΠ°ΡΠΎ Π½Π΅ ΡΠ΅ Π²ΠΎΠ΄ΡΡ ΡΠ°ΠΊΠΎΠ²ΠΈ ΡΠ΅Π³ΠΈΡΡΡΠΈ.
βΠ‘Π°ΡΠΊΠΎΠΌΠ° Π΅ ΠΌΠ½ΠΎΠ³ΠΎ ΡΡΠ΄ΡΠΊ Π²ΠΈΠ΄ Π·Π°Π±ΠΎΠ»ΡΠ²Π°Π½Π΅. ΠΠ΅ Π΅ ΠΈΠ·Π²Π΅ΡΡΠ½ΠΎ ΠΊΠ°ΠΊΠ²ΠΎ Π³ΠΎ ΠΏΡΠΈΡΠΈΠ½ΡΠ²Π°, Π½ΠΎ ΡΠ° ΠΈΠ·Π²Π΅ΡΡΠ½ΠΈ Π½ΡΠΊΠΎΠΈ Π²ΡΠ·ΠΌΠΎΠΆΠ½ΠΈ Ρ ΠΈΠΏΠΎΡΠ΅Π·ΠΈβ, ΠΎΠ±ΡΡΠ½ΡΠ²Π° Π΅ΠΊΡΠΏΠ΅ΡΡΠ° ΠΏΠΎ ΡΠ°ΡΠΊΠΎΠΌΠ° John Kane, MD, ΠΏΡΠ΅Π΄ΡΠ΅Π΄Π°ΡΠ΅Π» Π½Π° Π₯ΠΈΡΡΡΠ³ΠΈΡΠ½Π°ΡΠ° ΠΎΠ½ΠΊΠΎΠ»ΠΎΠ³ΠΈΡ Π½Π° ΡΠ°ΠΊΠΎΠ² ΡΠ΅Π½ΡΡΡ Roswell Park.
βΠΡΠΈ ΠΌΠ°Π»ΠΊΠ° ΡΠ°ΡΡ ΠΎΡ Π΄ΠΈΠ°Π³Π½ΠΎΠ·ΠΈΡΠ΅ ΡΠ΅ Π΄ΡΠ»ΠΆΠΈ Π½Π° Π³Π΅Π½Π΅ΡΠΈΠΊΠ°. ΠΠΎΠ΄Π»Π°Π³Π°Π½Π΅ΡΠΎ Π½Π° ΡΠ΅ΡΠ°ΠΏΠ΅Π²ΡΠΈΡΠ½Π° ΡΠ°Π΄ΠΈΠ°ΡΠΈΡ, ΠΊΠ°ΡΠΎ ΡΠ°Π·ΠΈ ΠΏΡΠΈ Π»Π΅ΡΠ΅Π½ΠΈΠ΅ Π½Π° ΡΠ°ΠΊ Π½Π° Π³ΡΡΠ΄Π°ΡΠ°, Π΅ ΡΠ΅ΡΠΈΠΎΠ·Π΅Π½ ΡΠΈΡΠΊΠΎΠ² ΡΠ°ΠΊΡΠΎΡ, ΠΊΠ°ΠΊΡΠΎ ΠΈ Ρ ΠΈΠΌΠΈΡΠ½ΠΎΡΠΎ ΠΈΠ·Π»Π°Π³Π°Π½Π΅ Π½Π° Ρ Π΅ΡΠ±ΠΈΡΠΈΠ΄ΠΈ ΠΈ ΠΏΠ΅ΡΡΠΈΡΠΈΠ΄ΠΈ ΡΡΡΠΎ ΡΠ΅ ΡΠ²ΡΡΠ·Π²Π° Ρ ΠΏΠΎΡΠ²Π°ΡΠ° Π½Π° ΡΠ°ΡΠΊΠΎΠΌΠ°.β

ΠΠ±ΠΈΠΊΠ½ΠΎΠ²Π΅Π½ΠΎ, ΠΏΠΎΠ΄ΡΡΠΈΠ½ΠΈΡΠ΅ ΠΈ Π±ΡΡΠΊΠΈΡΠ΅ ΠΏΡΠΈΡΠΈΠ½Π΅Π½ΠΈ ΠΎΡ ΡΠ°ΠΊΠΎΠ²ΠΈ Π·Π°Π±ΠΎΠ»ΡΠ²Π°Π½ΠΈΡ ΡΠ΅ ΡΠ°Π·Π²ΠΈΠ²Π°Ρ ΠΈΠ·Π²ΡΠ½ ΡΡΠ»ΠΎΡΠΎ ΠΈ ΡΠ° Π³ΠΎΠ»Π΅ΠΌΠΈ, ΡΠ²ΡΡΠ΄ΠΈ, Π±Π΅Π·Π±ΠΎΠ»Π΅Π·Π½Π΅Π½ΠΈ ΠΏΡΠΈ Π΄ΠΎΠΏΠΈΡ ΠΈ Π½Π΅ ΡΠ° Π»Π΅ΡΠ½ΠΎ ΠΏΠΎΠ΄Π²ΠΈΠΆΠ½ΠΈ.
ΠΠΎΠ΄ΡΡΠΈΠ½Π°ΡΠ°, ΠΏΡΠΈΡΠΈΠ½Π΅Π½Π° ΠΎΡ ΡΠ°ΡΠΊΠΎΠΌΠ° Π² Π½Π°ΡΠ°Π»ΠΎΡΠΎ ΠΌΠΎΠΆΠ΅ Π΄Π° Π½ΠΈ ΡΠ΅ ΡΡΡΠΎΠΈ Π±Π΅Π·Π²ΡΠ΅Π΄Π½Π°. Π’ΡΠΉ ΠΊΠ°ΡΠΎ Π΅ Π±Π΅Π·Π±ΠΎΠ»Π΅Π·Π½Π΅Π½Π° ΠΈ Π½ΡΠΌΠ° Π΄ΡΡΠ³ΠΈ ΡΠ°Π½Π½ΠΈ ΡΠΈΠΌΠΏΡΠΎΠΌΠΈ, Π΅ Π²ΡΠ·ΠΌΠΎΠΆΠ½ΠΎ Π»Π΅ΡΠ½ΠΎ Π΄Π° ΡΠ΅ ΠΏΡΠ΅Π½Π΅Π±ΡΠ΅Π³Π½Π΅.
βΠΠΊΠΎ ΠΈΠΌΠ°ΡΠ΅ ΡΠ°ΡΠΊΠΎΠΌΠ½Π° ΠΌΠ°ΡΠ° Π² Π±Π΅Π΄ΡΠΎΡΠΎ, ΡΠ΅ Π·Π°Π±Π΅Π»Π΅ΠΆΠΈΡΠ΅ ΡΠ΅ ΡΠΎ ΡΡΠ°Π²Π° Π²ΡΠ΅ ΠΏΠΎ-Π³ΠΎΠ»ΡΠΌΠΎ. ΠΠΊΠΎ Π΅ Π½Π° ΠΏΠΎΠ²ΡΡΡ Π½ΠΎΡΡΡΠ° Π½Π° ΠΊΠΎΠΆΠ°ΡΠ°, ΡΠ΅ ΠΌΠΎΠΆΠ΅ΡΠ΅ Π΄Π° Π·Π°Π±Π΅Π»Π΅ΠΆΠΈΡΠ΅ ΡΠΏΠ΅ΡΠΈΡΠΈΡΠ½Π° ΠΌΠ°ΡΠ° ΠΊΠΎΡΡΠΎ Π½Π°ΡΠ°ΡΡΠ²Π° Π²ΡΠ΅ ΠΏΠΎΠ²Π΅ΡΠ΅. ΠΡΠ·ΠΌΠΎΠΆΠ½ΠΎ Π΅ ΠΊΠΎΠΆΠ°ΡΠ° Π΄Π° Π·Π°ΠΏΠΎΡΠ½Π΅ Π΄Π° ΡΠ΅ ΠΏΡΠΎΠΌΠ΅Π½Ρβ, ΠΊΠ°Π·Π²Π° Π΄-Ρ ΠΠ΅ΠΉΠ½.
βΠΡΡΠΊΠΎ Π½Π΅ΡΠΎ, ΠΊΠΎΠ΅ΡΠΎ ΠΏΡΠΎΠ΄ΡΠ»ΠΆΠ°Π²Π° Π΄Π° ΡΠ°ΡΡΠ΅ Π±Π΅Π· ΡΠ°Π·ΡΠΌΠ½ΠΎ ΠΎΠ±ΡΡΠ½Π΅Π½ΠΈΠ΅, ΡΡΡΠ±Π²Π° Π΄Π° Π±ΡΠ΄Π΅ ΠΏΡΠ΅Π³Π»Π΅Π΄Π°Π½ΠΎ. ΠΠΊΠΎ ΠΏΡΠ΅Π΄ΠΈ 4 ΠΌΠ΅ΡΠ΅ΡΠ° Π½Π΅ ΡΡΠ΅ ΠΈΠΌΠ°Π»ΠΈ ΠΏΠΎΠ΄ΠΎΠ±Π½Π° ΠΏΠΎΠ΄ΡΡΠΈΠ½Π° ΠΈ ΡΠ΅Π³Π° ΠΈΠΌΠ°ΡΠ΅ Π½Π΅ΡΠΎ Ρ ΡΠ°Π·ΠΌΠ΅Ρ Π½Π° ΡΠΎΠΏΠΊΠ° Π·Π° Π³ΠΎΠ»Ρ, ΠΊΠΎΠ΅ΡΠΎ Π΅ ΠΎΠΊΠΎΠ»ΠΎ 5 ΡΠΌ, Π²Π΅ΡΠΎΡΡΠ½ΠΎΡΡΡΠ° ΡΠΎΠ²Π° Π΄Π° Π΅ ΡΠ°ΡΠΊΠΎΠΌΠ° ΡΡΠ°Π²Π° ΡΠ΅ΡΠΈΠΎΠ·Π½Π°,β Π΄ΠΎΠ±Π°Π²Ρ ΡΠΎΠΉ.
ΠΠ° ΡΠ°Π·Π»ΠΈΠΊΠ° ΠΎΡ Π²ΡΠ½ΡΠ½ΠΈΡΠ΅ ΠΏΠΎΠ΄ΡΡΠΈΠ½ΠΈ, ΠΊΠΎΠΈΡΠΎ ΠΌΠΎΠ³Π°Ρ Π΄Π° Π±ΡΠ΄Π°Ρ Π·Π°Π±Π΅Π»ΡΠ·Π°Π½ΠΈ, Π²ΡΡΡΠ΅ΡΠ½Π°ΡΠ° ΡΠ°ΡΠΊΠΎΠΌΠ° Π½Π΅ ΠΏΡΠΎΡΠ²ΡΠ²Π° ΡΠΈΠΌΠΏΡΠΎΠΌΠΈ Π² Π½Π°ΡΠ°Π»Π½Π°ΡΠ° ΡΠΈ ΡΠ°Π·Π°.
ΠΡΠΏΡΠ΅ΠΊΠΈ ΡΠΎΠ²Π° Π°ΠΊΠΎ ΡΠ΅ ΡΠΎΡΠΌΠΈΡΠ° Π² ΠΊΠΎΡΠ΅ΠΌΠ° ΠΈΠ»ΠΈ Π±Π΅Π»ΠΈΡΠ΅ Π΄ΡΠΎΠ±ΠΎΠ²Π΅ ΡΠ΅ ΡΠ΅ ΠΏΠΎΡΠ²Π°Ρ ΡΠΈΠΌΡΠΎΠΌΠΈ ΠΊΠ°ΡΠΎ: ΠΏΠΎΠ²Π΄ΠΈΠ³Π°Π½Π΅, ΠΏΠΎΠ²ΡΡΡΠ°Π½Π΅, Π·Π°ΠΏΠ΅ΠΊ, ΠΊΠ°ΡΠ»ΠΈΡΠ° ΠΈΠ»ΠΈ Π½Π΅Π΄ΠΎΡΡΠΈΠ³ Π½Π° Π²ΡΠ·Π΄ΡΡ ΠΈ Π΅Π²Π½ΡΡΠ°Π»Π½Π° Π±ΠΎΠ»ΠΊΠ°.
Π’Π΅Π·ΠΈ ΠΏΡΠΈΠ·Π½Π°ΡΠΈ ΡΠ΅ ΠΏΡΠΎΡΠ²ΡΠ²Π°Ρ ΠΊΠΎΠ³Π°ΡΠΎ ΠΎΠ±ΡΠ°Π·ΡΠ²Π°Π½ΠΈΠ΅ΡΠΎ Π·Π°ΠΏΠΎΡΠ½Π΅ Π΄Π° ΠΏΡΠΈΡΠΈΡΠΊΠ° Π±Π»ΠΈΠ·ΠΊΠΈ ΠΎΡΠ³Π°Π½ΠΈ, Π½Π΅ΡΠ²ΠΈ, ΠΌΡΡΠΊΡΠ»ΠΈ ΠΈΠ»ΠΈ ΠΊΡΡΠ²ΠΎΠ½ΠΎΡΠ½ΠΈ ΡΡΠ΄ΠΎΠ²Π΅.
βΠ₯ΠΎΡΠ°ΡΠ° ΠΌΠΎΠ³Π°Ρ Π΄Π° Π·Π°Π±Π΅Π»Π΅ΠΆΠ°Ρ, ΡΠ΅ Π½Π΅ ΠΊΠ°ΡΠ²Π°Ρ ΠΊΠΈΠ»ΠΎΠ³ΡΠ°ΠΌΠΈ, Π½ΠΎ ΠΎΠ±Π»Π°ΡΡΡΠ° Π½Π° ΠΊΠΎΡΠ΅ΠΌΠ° ΡΡΠ°Π²Π° ΡΠ²ΡΡΠ΄Π°. Π©Π΅ ΡΠ°Π·Π±Π΅ΡΠ°Ρ, ΡΠ΅ Π½Π΅ΡΠΎ Π½Π΅ Π΅ Π½Π°ΡΠ΅Π΄,β ΠΊΠ°Π·Π²Π° Π΄-Ρ ΠΠ΅ΠΉΠ½. Π Π΄ΠΎΠΏΡΠ»Π½Π΅Π½ΠΈΠ΅ ΡΠΎΠΉ ΠΊΠ°Π·Π²Π°, ΡΠ΅ Π½Π΅Π·Π°Π²ΠΈΡΠΈΠΌΠΎ ΠΊΡΠ΄Π΅ Π² ΡΡΠ»ΠΎΡΠΎ ΡΠ΅ ΡΠΎΡΠΌΠΈΡΠ° ΡΠ°ΡΠΊΠΎΠΌΠ° β Π² ΡΡΠΊΠ°ΡΠ°, Π² ΠΊΡΠ°ΠΊΠ°, ΡΡΠΎΠΌΠ°Ρ Π° ΠΈΠ»ΠΈ Π³ΡΡΠ±Π½Π°ΡΠ½ΠΈΡ ΡΡΡΠ»Π± β ΡΠΎ ΡΠΎΠ²Π° ΡΠ΅ Π²ΡΠ·ΠΏΡΠΈΠ΅ΠΌΠ° ΠΊΠ°ΡΠΎ ΡΠ°ΡΠΊΠΎΠΌΠ° ΠΈ Π΅ ΡΠ°Π·Π»ΠΈΡΠ΅Π½ ΠΎΡ ΡΠ°ΠΊΠ° Π½Π° Π³ΡΡΠ΄Π°ΡΠ°, Π±Π΅Π»ΠΈΡ Π΄ΡΠΎΠ± ΠΈ Π΄ΡΡΠ³ΠΈΡΠ΅ Π²ΠΈΠ΄ΠΎΠ²Π΅ ΠΎΠ½ΠΊΠΎΠ»ΠΎΠ³ΠΈΡΠ½ΠΈ Π·Π°Π±ΠΎΠ»ΡΠ²Π°Π½ΠΈΡ.
Π’ΠΎΠ²Π°, ΠΊΠΎΠ΅ΡΠΎ Π½Π°ΠΈΡΡΠΈΠ½Π° Π΅ Π²Π°ΠΆΠ½ΠΎ Π΅ Π΄Π° ΡΠ΅ Π½Π°ΠΌΠ΅ΡΠΈ ΠΎΠ½ΠΊΠΎΠ»ΠΎΠ³, ΠΊΠΎΠΉΡΠΎ ΡΠ°Π·Π±ΠΈΡΠ° ΠΎΡ ΡΠ°ΡΠΊΠΎΠΌΠ° ΠΈ ΠΊΠ°ΠΊΠ²ΠΎ ΠΏΡΠ΅Π΄ΡΡΠ°Π²Π»ΡΠ²Π° ΡΠΎΠ²Π° Π·Π°Π±ΠΎΠ»ΡΠ²Π°Π½Π΅, Π½Π΅Π·Π°Π²ΠΈΡΠΈΠΌΠΎ ΠΊΡΠ΄Π΅ Π² ΡΡΠ»ΠΎΡΠΎ ΡΠ΅ Π΅ ΡΠΎΡΠΌΠΈΡΠ°Π»ΠΎ.
ΠΠ½ΠΎΠ³ΠΎ ΡΠ΅ΡΡΠΎ Π»Π΅ΠΊΠ°ΡΠΈΡΠ΅ ΠΌΠΎΠ³Π°Ρ Π΄Π° Π½Π°ΠΏΡΠ°Π²ΡΡ Π³ΡΠ΅ΡΠΊΠ° ΠΏΡΠΈ Π΄ΠΈΠ°Π³Π½ΠΎΡΡΠΈΡΠΈΡΠ°Π½Π΅ΡΠΎ Π½Π° ΡΠ°ΡΠΊΠΎΠΌΠ° Π½Π° ΠΌΠ΅ΠΊΠΈΡΠ΅ ΡΡΠΊΠ°Π½ΠΈ ΠΈ Π΄Π° Π±ΡΠ΄Π΅ ΠΎΠΏΡΠ΅Π΄Π΅Π»Π΅Π½ ΠΊΠ°ΡΠΎ Ρ Π΅ΠΌΠ°ΡΠΎΠΌ (Π»ΠΎΡΠ° ΡΠΈΠ½ΠΈΠ½Π°), Π°Π±ΡΠ΅Ρ (Π²ΡΠ·ΠΏΠ°Π»Π΅Π½Π° ΠΏΠΎΠ΄ΡΡΠΈΠ½Π°), ΡΠ°Π·ΡΠ΅Π³Π½Π°Ρ ΠΌΡΡΠΊΡΠ», Π»ΠΈΠΏΠΎΠΌΠ° ΠΈΠ»ΠΈ Π΄ΡΡΠ³ΠΎ Π΄ΠΎΠ±ΡΠΎΠΊΠ°ΡΠ΅ΡΡΠ²Π΅Π½ΠΎ ΠΎΠ±ΡΠ°Π·ΡΠ²Π°Π½ΠΈΠ΅.
ΠΠ°ΡΠΎ ΡΡΠ»ΠΎ ΡΠ°ΡΠΊΠΎΠΌΠ° Π΅ ΠΌΠ½ΠΎΠ³ΠΎ ΡΡΡΠ΄Π΅Π½ Π·Π° Π΄ΠΈΠ°Π³Π½ΠΎΡΡΠΈΡΠΈΡΠ°Π½Π΅ ΠΈ ΡΠ΅Π½ΡΠ³Π΅Π½ΠΎΠ²ΠΈΡΠ΅ ΡΠ½ΠΈΠΌΠΊΠΈ ΠΈΠ»ΠΈ ΡΡΠ°Π½Π΄Π°ΡΡΠ½ΠΈΡ Π΅Ρ ΠΎΠ³ΡΠ°Ρ Π½Π΅ ΠΌΠΎΠ³Π°Ρ Π΄Π° Π΄Π°Π΄Π°Ρ Π΄Π΅ΡΠΈΠ½ΠΈΡΠΈΠ²Π½Π° Π΄ΠΈΠ°Π³Π½ΠΎΠ·Π°.
βΠ‘ΡΠ΅Π΄Π½ΠΎΡΠΎ Π²ΡΠ΅ΠΌΠ΅ ΠΎΡ ΠΌΠΎΠΌΠ΅Π½ΡΠ°, Π² ΠΊΠΎΠΉΡΠΎ ΠΏΠ°ΡΠΈΠ΅Π½ΡΠ° Π·Π°Π±Π΅Π»Π΅ΠΆΠΈ ΠΏΠΎΠ΄ΡΡΠΈΠ½Π°ΡΠ° ΠΈ Π΄ΠΎΡΡΠΈΠ³Π°Π½Π΅ΡΠΎ Π΄ΠΎ Π΄ΠΈΠ°Π³Π½ΠΎΠ·Π°ΡΠ° ΡΠ°ΡΠΊΠΎΠΌΠ° Π΅ ΠΎΠΊΠΎΠ»ΠΎ 6 ΠΌΠ΅ΡΠ΅ΡΠ°. ΠΡΠΈΡΠΈΠ½Π° Π·Π° ΡΠΎΠ²Π° Π΅ ΡΡΠ΄ΠΊΠΎΡΡΡΠ° Π½Π° Π·Π°Π±ΠΎΠ»ΡΠ²Π°Π½Π΅ΡΠΎ ΠΈ ΡΠ°ΠΊΡΠ°, ΡΠ΅ ΠΏΡΡΠ²ΠΎΠ½Π°ΡΠ°Π»Π½ΠΎ Π»Π΅ΠΊΠ°ΡΠΈΡΠ΅ Π½Π΅ Π³ΠΎ Π²ΠΊΠ»ΡΠ²Π°Ρ Π² ΡΠΏΠΈΡΡΠΊΠ° Ρ Π²ΡΠ·ΠΌΠΎΠΆΠ½ΠΈΡΠ΅ Π΄ΠΈΠ°Π³Π½ΠΎΠ·ΠΈ. ΠΠ°ΠΊΡΠΎ ΠΈ ΡΠ΅ ΠΏΠΎ Π²ΡΠ΅ΠΌΠ΅ Π½Π° ΡΠΈΠ·ΠΈΡΠ΅ΡΠΊΠΈ ΠΏΡΠ΅Π³Π»Π΅Π΄ Π½Π΅ Π΅ Π²ΡΠ·ΠΌΠΎΠΆΠ½ΠΎ Π΄Π° ΡΠ΅ ΠΎΠΏΡΠ΅Π΄Π΅Π»ΠΈ Π΄Π°Π»ΠΈ Π΅ Π΄ΠΎΠ±ΡΠΎΠΊΠ°ΡΠ΅ΡΡΠ²Π΅Π½ ΠΈΠ»ΠΈ Π·Π»ΠΎΠΊΠ°ΡΠ΅ΡΡΠ²Π΅Π½,β ΠΊΠ°Π·Π²Π° Π΄-Ρ ΠΠ΅ΠΉΠ½.
Π’ΠΎΠΉ ΠΏΡΠ΅ΠΏΠΎΡΡΡΠ²Π° Π½Π° ΠΏΠ°ΡΠΈΠ΅Π½ΡΠΈΡΠ΅, ΠΊΠΎΠΈΡΠΎ ΠΈΠΌΠ°Ρ ΡΡΠΌΠ½Π΅Π½ΠΈΠ΅ Π·Π° ΡΠ°ΡΠΊΠΎΠΌΠ° Π΄Π° Π½Π°ΡΡΠΎΡΠ²Π°Ρ Π΄Π° ΠΈΠΌ Π±ΡΠ΄Π΅ Π½Π°ΠΏΡΠ°Π²Π΅Π½ ΡΠΊΠ΅Π½Π΅Ρ ΠΈ ΡΠ΄ΡΠ΅Π½ΠΎ-ΠΌΠ°Π³Π½ΠΈΡΠ΅Π½ ΡΠ΅Π·ΠΎΠ½Π°Π½Ρ (Π―ΠΠ ), ΠΏΠΎΡΠ»Π΅Π΄Π²Π°Π½ΠΈ ΠΎΡ ΡΠ°Π΄ΠΈΠΎΠ»ΠΎΠ³ΠΈΡΠ½ΠΎ ΡΡΠΊΠΎΠ²ΠΎΠ΄Π΅Π½Π° ΠΈΠ³Π»Π΅Π½Π° Π±ΠΈΠΎΠΏΡΠΈΡ ΡΡΠΏΡΠΎΠ²ΠΎΠ΄Π΅Π½Π° Ρ Π΄ΠΎΠΏΡΠ»ΠΈΠ½ΡΠ΅Π»Π½ΠΈ ΡΠ°Π΄ΠΈΠΎΠ»ΠΎΠ³ΠΈΡΠ½ΠΈ ΡΠ΅ΡΡΠΎΠ²Π΅, ΠΊΠΎΠΈΡΠΎ Π΄Π° ΠΎΠΏΡΠ΅Π΄Π΅Π»ΡΡ Π²ΠΈΠ΄Π° ΠΈ ΡΠ°Π·ΠΌΠ΅ΡΠ°.
Π’ΡΡΠ±Π²Π° Π΄Π° Π±ΡΠ΄Π΅ ΠΎΠΏΡΠ΅Π΄Π΅Π»Π΅Π½ΠΎ ΠΈΠ½Π΄ΠΈΠ²ΠΈΠ΄ΡΠ°Π»Π½ΠΎ Π»Π΅ΡΠ΅Π½ΠΈΠ΅ Π² Π·Π°Π²ΠΈΡΠΈΠΌΠΎΡΡ ΠΎΡ Π²ΠΈΠ΄Π° Π½Π° ΡΠ°ΡΠΊΠΎΠΌΠ°, Π½Π΅Π³ΠΎΠ²ΠΎΡΠΎ ΠΌΠ΅ΡΡΠΎΠΏΠΎΠ»ΠΎΠΆΠ΅Π½ΠΈΠ΅ ΠΈ Π²ΡΠ·ΠΌΠΎΠΆΠ½ΠΎΡΡΡΠ° Π·Π° ΠΌΠ΅ΡΠ°ΡΡΠ°Π·ΠΈ.
βΠ‘Π°ΡΠΊΠΎΠΌΠ° ΠΌΠ΅ΡΠ°ΡΡΠ°Π·ΠΈΡΠ° Π½Π°ΠΉ-ΡΠ΅ΡΡΠΎ Π² Π±Π΅Π»ΠΈΡΠ΅ Π΄ΡΠΎΠ±ΠΎΠ²Π΅. ΠΠΎΠ³Π°ΡΠΎ ΠΏΠ°ΡΠΈΠ΅Π½Ρ ΡΠΎΠΊΡ-ΡΠΎ Π΅ Π΄ΠΈΠ°Π³Π½ΠΎΡΡΠΈΡΠΈΡΠ°Π½ ΡΡΡ ΡΠ°ΡΠΊΠΎΠΌΠ°, ΡΠΎ Π²Π΅Π΄Π½Π°Π³Π° ΡΡΡΠ±Π²Π° Π΄Π° ΡΠ΅ ΠΏΡΠΎΠ²Π΅ΡΠΈ Π΄Π°Π»ΠΈ ΠΈΠΌΠ° ΠΌΠ΅ΡΠ°ΡΡΠ°Π·ΠΈ Π² Π±Π΅Π»ΠΈΡΠ΅ Π΄ΡΠΎΠ±ΠΎΠ²Π΅,β ΠΊΠ°Π·Π²Π° Π΄-Ρ ΠΠ΅ΠΉΠ½.
Π Π΄ΠΎΠΏΡΠ»Π½Π΅Π½ΠΈΠ΅, ΡΠΎΠΉ ΠΊΠ°Π·Π²Π° ΡΠ΅ ΡΡΠΉ ΠΊΠ°ΡΠΎ ΡΠ°ΡΠΊΠΎΠΌΠ° Π΅ ΡΠ°Π·Π»ΠΈΡΠ΅Π½, ΡΡΠ°Π½Π΄Π°ΡΡΠ½ΠΈΡΠ΅ ΠΌΠ΅ΡΠΎΠ΄ΠΈ Π½Π° Π»Π΅ΡΠ΅Π½ΠΈΠ΅ ΠΊΠ°ΡΠΎ Ρ ΠΈΠΌΠΈΠΎΡΠ΅ΡΠ°ΠΏΠΈΡΡΠ°, Π»ΡΡΠ΅ΡΠ΅ΡΠ°ΠΏΠΈΡΡΠ° ΠΈ ΠΎΠΏΠ΅ΡΠ°ΡΠΈΡΡΠ° Π·Π° ΡΠ°ΠΊ Π½Π° Π³ΡΡΠ΄Π°ΡΠ°, Π΄Π΅Π±Π΅Π»ΠΎΡΠΎ ΡΠ΅ΡΠ²ΠΎ ΠΈ Π΄ΡΡΠ³ΠΈΡΠ΅ Π²ΠΈΠ΄ΠΎΠ²Π΅ ΡΠ°ΠΊΠΎΠ²ΠΈ Π·Π°Π±ΠΎΠ»ΡΠ²Π°Π½ΠΈΡ ΡΡΡΠ±Π²Π° Π΄Π° Π±ΡΠ΄Π΅ ΠΏΡΠΎΠΌΠ΅Π½Π΅Π½Π°.
Π’ΠΎΠΉ ΠΏΡΠ΅ΠΏΠΎΡΡΡΠ²Π° ΠΎΡΠ΅Π½ΠΊΠ°ΡΠ° Π½Π° ΡΡΡΡΠΎΡΠ½ΠΈΠ΅ΡΠΎ ΠΈ Π³ΡΠΈΠΆΠΈΡΠ΅ Π΄Π° ΡΠ΅ ΠΈΠ·Π²ΡΡΡΠ°Ρ Π² ΡΠΏΠ΅ΡΠΈΠ°Π»ΠΈΠ·ΠΈΡΠ°Π½ ΡΠ°ΡΠΊΠΎΠΌΠ° ΡΠ΅Π½ΡΡΡ, ΠΊΡΠ΄Π΅ΡΠΎ Π΅ Π½Π°Π»ΠΈΡΠ΅Π½ ΠΌΡΠ»ΡΠΈΠ΄ΠΈΡΡΠΈΠΏΠ»ΠΈΠ½Π°ΡΠ΅Π½ Π΅ΠΊΠΈΠΏ ΡΡΡΡΠΎΡΡ ΡΠ΅ ΠΎΡ Ρ ΠΈΡΡΡΠ³-ΠΎΠ½ΠΊΠΎΠ»ΠΎΠ³ ΠΈ ΡΠ°Π΄ΠΈΠΎΠ»ΠΎΠ³-ΠΎΠ½ΠΊΠΎΠ»ΠΎΠ³, ΠΊΠΎΠΈΡΠΎ ΡΠ° ΡΠΏΠ΅ΡΠΈΠ°Π»ΠΈΠ·ΠΈΡΠ°Π»ΠΈ Π² ΠΎΠ±Π»Π°ΡΡΡΠ° Π½Π° Π΄ΠΈΠ°Π³Π½ΠΎΡΡΠΈΡΠΈΡΠ°Π½Π΅ΡΠΎ ΠΈ Π»Π΅ΡΠ΅Π½ΠΈΠ΅ΡΠΎ Π½Π° ΡΠ°ΡΠΊΠΎΠΌΠ° ΡΡΠΌΠΎΡΠΈ.
βΠ’Π΅Π·ΠΈ ΡΠ΅Π½ΡΡΠΎΠ²Π΅ ΡΠ° ΠΆΠΈΠ²ΠΎΡΠΎΡΠΏΠ°Π΄ΡΠ²Π°ΡΠΈ. ΠΠ° ΡΠ΅Π·ΠΈ ΠΌΠ΅ΡΡΠ° ΠΏΡΠ΅Π΄Π»Π°Π³Π°Ρ Π²ΠΊΠ»ΡΡΠ²Π°Π½Π΅ Π² ΠΊΠ»ΠΈΠ½ΠΈΡΠ½ΠΈ ΠΏΡΠΎΡΡΠ°Π²Π½ΠΈΡ, ΠΊΠΎΠΈΡΠΎ ΡΠ° Π½Π°ΡΠΎΡΠ΅Π½ΠΈ ΠΊΡΠΌ Π½ΡΠΊΠΎΠΈ ΡΠ΅Π΄ΠΊΠΈ Π²ΠΈΠ΄ΠΎΠ²Π΅ ΡΠ°ΡΠΊΠΎΠΌΠ°, Π²Π°ΡΠΈΠ°Π½ΡΠΈ Π·Π° ΠΈΠ½ΡΡΠ°ΠΎΠΏΠΈΡΠ°ΡΠΈΠ²Π½ΠΎ ΠΎΠ±Π»ΡΡΠ²Π°Π½Π΅ ΠΈ ΡΠ΅Π³ΠΈΠΎΠ½Π°Π»Π½Π° ΡΠ΅ΡΠ°ΠΏΠΈΡ, ΠΊΠ°ΠΊΡΠΎ ΠΈ Ρ ΠΈΠΌΠΈΠΎΡΠ΅ΡΠ°ΠΏΠ΅Π²ΡΠΈΡΠ½ΠΈ Π»Π΅ΠΊΠ°ΡΡΡΠ²Π°, ΠΊΠΎΠΈΡΠΎ Π΄Π°Π²Π°Ρ Π²ΡΠ·ΠΌΠΎΠΆΠ½ΠΎΡΡ Π΄Π° ΡΠ΅ Π½Π°ΡΠΎΡΠΈ Π»Π΅ΡΠ΅Π½ΠΈΠ΅ΡΠΎ ΡΠΎΡΠ½ΠΎ ΡΠ°ΠΌ ΠΊΡΠ΄Π΅ΡΠΎ Π΅ Π½Π΅ΠΎΠ±Ρ ΠΎΠ΄ΠΈΠΌΠΎ, Π·Π° Π΄Π° ΡΠ΅ ΠΈΠ·Π±Π΅Π³Π½Π΅ Π°ΠΌΠΏΡΡΠ°ΡΠΈΡ,β ΠΊΠ°Π·Π²Π° Π΄-Ρ ΠΠ΅ΠΉΠ½. βΠ ΡΠ΅Π·ΠΈ ΡΠ΅Π½ΡΡΠΎΠ²Π΅ ΡΠΏΠ΅ΡΠΈΠ°Π»ΠΈΡΠΈΡΠ΅ ΡΠ΅ΡΠ°Π²Π°Ρ ΠΊΠΎΡ Π΅ Π½Π°ΠΉ-Π΄ΠΎΠ±ΡΠ°ΡΠ° ΠΏΠΎΡΠ΅Π΄ΠΈΡΠ° ΠΎΡ Π»Π΅ΡΠ΅Π½ΠΈΠ΅, Π·Π° Π΄Π° Π΄Π°Π΄Π°Ρ Π½Π°ΠΉ-Π΄ΠΎΠ±ΡΠΈΡ ΡΠ°Π½Ρ Π½Π° ΠΏΠ°ΡΠΈΠ΅Π½ΡΠ° Π΄Π° ΡΠ΅ ΡΠΏΡΠ°Π²ΠΈ Ρ Π±ΠΎΠ»Π΅ΡΡΡΠ°β.