Статии - Рак на Кожата- Симптоми, Лечение и Превенция
Павел Андреев (CEO)

Павел Андреев е социален предприемач, филантроп и основател (CEO) на глобалната платформа за набиране на средства PavelAndreev.ORG.

Рак на Кожата- Симптоми, Лечение и Превенция

Ракът на кожата - необичайният растеж на кожни клетки - най-често се развива върху кожа, изложена на слънце. Но тази често срещана форма на рак може да се появи и на участъци от кожата ви, които обикновено не са изложени на слънчева светлина.

Има три основни вида рак на кожата - базалноклетъчен карцином, плоскоклетъчен карцином и меланом.

Можете да намалите риска от рак на кожата, като ограничите или избегнете излагането на ултравиолетова (UV) радиация. Проверката на кожата ви за подозрителни промени може да помогне за откриване на рак на кожата в най-ранните му стадии. Ранното откриване на рак на кожата ви дава най-голям шанс за успешно лечение на рак на кожата.

Видове​

Видовете рак на кожата са:

  • Базалноклетъчен карцином
  • Меланом
  • Немеланомен рак на кожата
  • Плоскоклетъчен карцином на кожата

Симптоми​

Къде се развива рак на кожата?​

Ракът на кожата се развива предимно върху участъци от изложена на слънце кожа, включително скалпа, лицето, устните, ушите, шията, гърдите, ръцете и дланите, както и по краката при жените. Но може да се образува и върху области, които рядко виждат дневна светлина - дланите ви, под ноктите на ръцете или краката и гениталната област.

Ракът на кожата засяга хора с всякакъв цвят на кожата, включително тези с по-тъмен тен. Когато меланомът се появи при хора с тъмна кожа, е по-вероятно да се появи в области, които обикновено не са изложени на слънце, като дланите на ръцете и стъпалата.

Признаци и симптоми на базалноклетъчен карцином​

Базалноклетъчният карцином обикновено се появява в изложени на слънце области на тялото ви, като врата или лицето.

Базалноклетъчният карцином може да изглежда като:

  • Перлена или восъчна подутина
  • Плоска лезия с телесен или кафяв белег
  • Кървяща или образуваща струпеи рана, която заздравява и се връща

Признаци и симптоми на плоскоклетъчен карцином​

Най-често плоскоклетъчният карцином се появява на изложени на слънце участъци от тялото ви, като лицето, ушите и ръцете.

Хората с по-тъмна кожа са по-склонни да развият плоскоклетъчен карцином в области, които не са често изложени на слънце.

Плоскоклетъчният карцином може да изглежда като:

  • Твърдо, червено възелче
  • Плоска лезия с люспеста, покрита с кора повърхност

Признаци и симптоми на меланома​

Меланомът може да се развие навсякъде по тялото ви, в иначе нормална кожа или в съществуваща бенка, която става ракова. Меланомът най-често се появява по лицето или тялото на засегнатите мъже. При жените този вид рак най-често се развива на долната част на краката. И при мъжете, и при жените меланомът може да се появи върху кожа, която не е била излагана на слънце.

Меланомът може да засегне хора с всякакъв цвят на кожата. При хора с по-тъмен цвят на кожата меланомът обикновено се появява по дланите или ходилата, или под ноктите на ръцете или краката.

Признаците на меланома включват:

  • Голямо кафеникаво петно с по-тъмни точки
  • Бенка, която променя цвета, размера или усещането, или кърви
  • Малка лезия с неправилна граница и части, които изглеждат червени, розови, бели, сини или синьо-черни
  • Болезнена лезия, която сърби или изгаря
  • Тъмни лезии по дланите, стъпалата, върховете на пръстите или пръстите на краката или върху лигавиците, покриващи устата, носа, вагината или ануса

Признаци и симптоми на по-рядко срещани ракови заболявания на кожата​

Други, по-рядко срещани видове рак на кожата включват:

  • Сарком на Капоши. Тази рядка форма на рак на кожата се развива в кръвоносните съдове на кожата и причинява червени или лилави петна по кожата или лигавиците.
    Саркомът на Капоши се среща главно при хора с отслабена имунна система, като хора със СПИН, и при хора, приемащи лекарства, които потискат естествения им имунитет, като хора, които са претърпели трансплантация на органи.
    Други хора с повишен риск от сарком на Капоши включват млади мъже, живеещи в Африка, или по-възрастни мъже от италианско или източноевропейско еврейско наследство.
  • Меркелов клетъчен карцином. Клетъчният карцином на Меркел причинява твърди, лъскави възли, които се появяват върху или точно под кожата и в космените фоликули. Меркел клетъчният карцином се среща най-често на главата, шията и торса.
  • Карцином на мастните жлези. Този необичаен и агресивен рак произхожда от мастните жлези в кожата. Карциномите на мастните жлези - които обикновено се появяват като твърди, безболезнени възли - могат да се развият навсякъде, но повечето се появяват на клепачите, където често се бъркат с други проблеми с клепачите.

Причини​

Ракът на кожата възниква, когато възникнат грешки (мутации) в ДНК на кожните клетки. Мутациите карат клетките да растат извън контрол и да образуват маса от ракови клетки.

Клетки, участващи в рак на кожата​

Ракът на кожата започва в най-горния слой на кожата – епидермиса. Епидермисът е тънък слой, който осигурява защитно покритие от кожни клетки, които тялото ви непрекъснато отделя. Епидермисът съдържа три основни типа клетки:

  • Сквамозните клетки се намират точно под външната повърхност и функционират като вътрешна обвивка на кожата.
  • Базалните клетки, които произвеждат нови кожни клетки, се намират под сквамозните клетки.
  • Меланоцитите - които произвеждат меланин, пигментът, който придава нормалния цвят на кожата - се намират в долната част на епидермиса. Меланоцитите произвеждат повече меланин, когато сте на слънце, за да предпазите по-дълбоките слоеве на кожата си.

Къде започва вашият рак на кожата определя неговия тип и вашите възможности за лечение.

Ултравиолетова светлина и други потенциални причини​

Голяма част от увреждането на ДНК в кожните клетки е резултат от ултравиолетова (UV) радиация, открита в слънчевата светлина и в светлините, използвани в солариумите. Но излагането на слънце не обяснява раковите заболявания на кожата, които се развиват върху кожа, която обикновено не е изложена на слънчева светлина. Това показва, че други фактори могат да допринесат за риска от рак на кожата, като излагане на токсични вещества или състояние, което отслабва имунната ви система.

Рискови фактори​

Факторите, които могат да увеличат риска от рак на кожата, включват:

  • Светла кожа. Всеки, независимо от цвета на кожата, може да получи рак на кожата. Въпреки това, наличието на по-малко пигмент (меланин) в кожата ви осигурява по-малко защита от вредното UV лъчение. Ако имате руса или червена коса и светли очи и имате лунички или слънчево изгаряне лесно, е много по-вероятно да развиете рак на кожата, отколкото човек с по-тъмна кожа.
  • Анамнеза за слънчеви изгаряния. Ако сте имали едно или повече слънчеви изгаряния с мехури като дете или тийнейджър, увеличавате риска от развитие на рак на кожата като възрастен. Слънчевите изгаряния в зряла възраст също са рисков фактор.
  • Прекомерно излагане на слънце. Всеки, който прекарва значително време на слънце, може да развие рак на кожата, особено ако кожата не е защитена със слънцезащитни продукти или дрехи. Солариумът също ви излага на риск. Тенът е реакцията на нараняване на кожата ви към прекомерната UV радиация.
  • Слънчев или височинен климат. Хората, които живеят в слънчев, топъл климат, са изложени на повече слънчева светлина, отколкото хората, които живеят в по-студен климат. Животът на по-високи височини, където слънчевата светлина е най-силна, също ви излага на повече радиация.
  • Бенки. Хората, които имат много бенки или необичайни бенки, наречени диспластични невуси, са изложени на повишен риск от рак на кожата. Тези необичайни бенки - които изглеждат неправилни и обикновено са по-големи от нормалните бенки - е по-вероятно от други да станат ракови. Ако имате анамнеза за необичайни бенки, наблюдавайте ги редовно за промени.
  • Предракови кожни лезии. Наличието на кожни лезии, известни като актинични кератози, може да увеличи риска от развитие на рак на кожата. Тези предракови кожни образувания обикновено изглеждат като груби, люспести петна, които варират на цвят от кафяво до тъмно розово. Най-често се срещат по лицето, главата и ръцете на хора със светла кожа, чиято кожа е увредена от слънцето.
  • Фамилна анамнеза за рак на кожата. Ако някой от вашите родители или брат или сестра е имал рак на кожата, може да имате повишен риск от заболяването.
  • Лична анамнеза за рак на кожата. Ако веднъж сте развили рак на кожата, рискувате да го развиете отново.
  • Отслабена имунна система. Хората с отслабена имунна система имат по-голям риск от развитие на рак на кожата. Това включва хора, живеещи с ХИВ/СПИН, и такива, приемащи имуносупресори след трансплантация на орган.
  • Излагане на радиация. Хората, подложени на лъчева терапия за кожни заболявания като екзема и акне, може да имат повишен риск от рак на кожата, особено базалноклетъчен карцином.
  • Излагане на определени вещества. Излагането на определени вещества, като арсен, може да увеличи риска от рак на кожата.

Предотвратяване​

Повечето видове рак на кожата са предотвратими. За да се предпазите, следвайте тези съвети за предотвратяване на рак на кожата:

  • Избягвайте слънцето в средата на деня. За много хора в Северна Америка слънчевите лъчи са най-силни между около 10 сутринта и 16 ч. Насрочете дейности на открито за други часове на деня, дори през зимата или когато небето е облачно.
    Вие поглъщате UV радиация през цялата година, а облаците предлагат слаба защита от вредните лъчи. Избягването на най-силното слънце ви помага да избегнете слънчевите изгаряния и загарите, които причиняват увреждане на кожата и увеличават риска от развитие на рак на кожата. Излагането на слънце, натрупано с времето, също може да причини рак на кожата.
  • Носете слънцезащитен крем през цялата година. Слънцезащитните кремове не филтрират цялата вредна UV радиация, особено радиацията, която може да доведе до меланом. Но те играят основна роля в цялостната слънцезащитна програма.
    Използвайте широкоспектърен слънцезащитен крем с SPF най-малко 30, дори в облачни дни. Нанасяйте щедро слънцезащитен крем и нанасяйте отново на всеки два часа - или по-често, ако плувате или се потите. Използвайте обилно количество слънцезащитен крем върху цялата открита кожа, включително устните, върховете на ушите и гърба на ръцете и врата.
  • Носете защитно облекло. Слънцезащитните продукти не осигуряват пълна защита от ултравиолетовите лъчи. Затова покрийте кожата си с тъмни, плътно тъкани дрехи, които покриват ръцете и краката ви, и шапка с широка периферия, която осигурява по-голяма защита от бейзболната шапка или козирката.
    Някои компании продават и фотозащитни облекла. Дерматолог може да препоръча подходяща марка.
    Не забравяйте слънчевите очила. Потърсете тези, които блокират и двата вида UV радиация - UVA и UVB лъчи.
  • Избягвайте солариумите. Светлините, използвани в солариумите, излъчват UV лъчи и могат да увеличат риска от рак на кожата.
  • Бъдете наясно с лекарствата, чувствителни към слънцето. Някои обичайни лекарства с рецепта и лекарства без рецепта, включително антибиотици, могат да направят кожата ви по-чувствителна към слънчева светлина.
    Попитайте Вашия лекар или фармацевт за страничните ефекти на всички лекарства, които приемате. Ако те повишават чувствителността ви към слънчева светлина, вземете допълнителни предпазни мерки, за да не се излагате на слънце, за да защитите кожата си.
  • Проверявайте кожата си редовно и докладвайте промените на Вашия лекар. Преглеждайте често кожата си за нови кожни израстъци или промени в съществуващи бенки, лунички, подутини и рождени белези.
    С помощта на огледала проверете лицето, шията, ушите и скалпа. Огледайте гърдите и тялото си, както и горната и долната част на ръцете си. Изследвайте както предната, така и задната част на краката си, включително стъпалата и пространствата между пръстите. Проверете също гениталната си област и между задните части.

Диагноза​

За да диагностицира рак на кожата, Вашият лекар може:

  • Огледайте кожата си. Вашият лекар може да прегледа кожата ви, за да определи дали кожните ви промени вероятно са рак на кожата. Може да са необходими допълнителни изследвания, за да се потвърди тази диагноза.
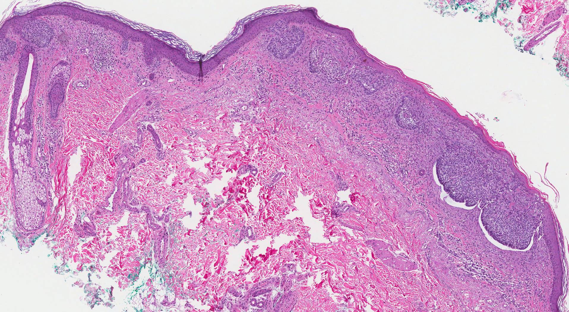
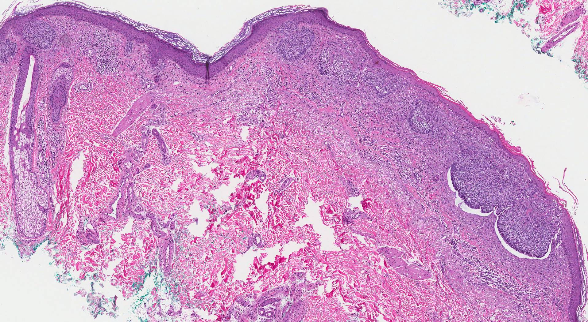
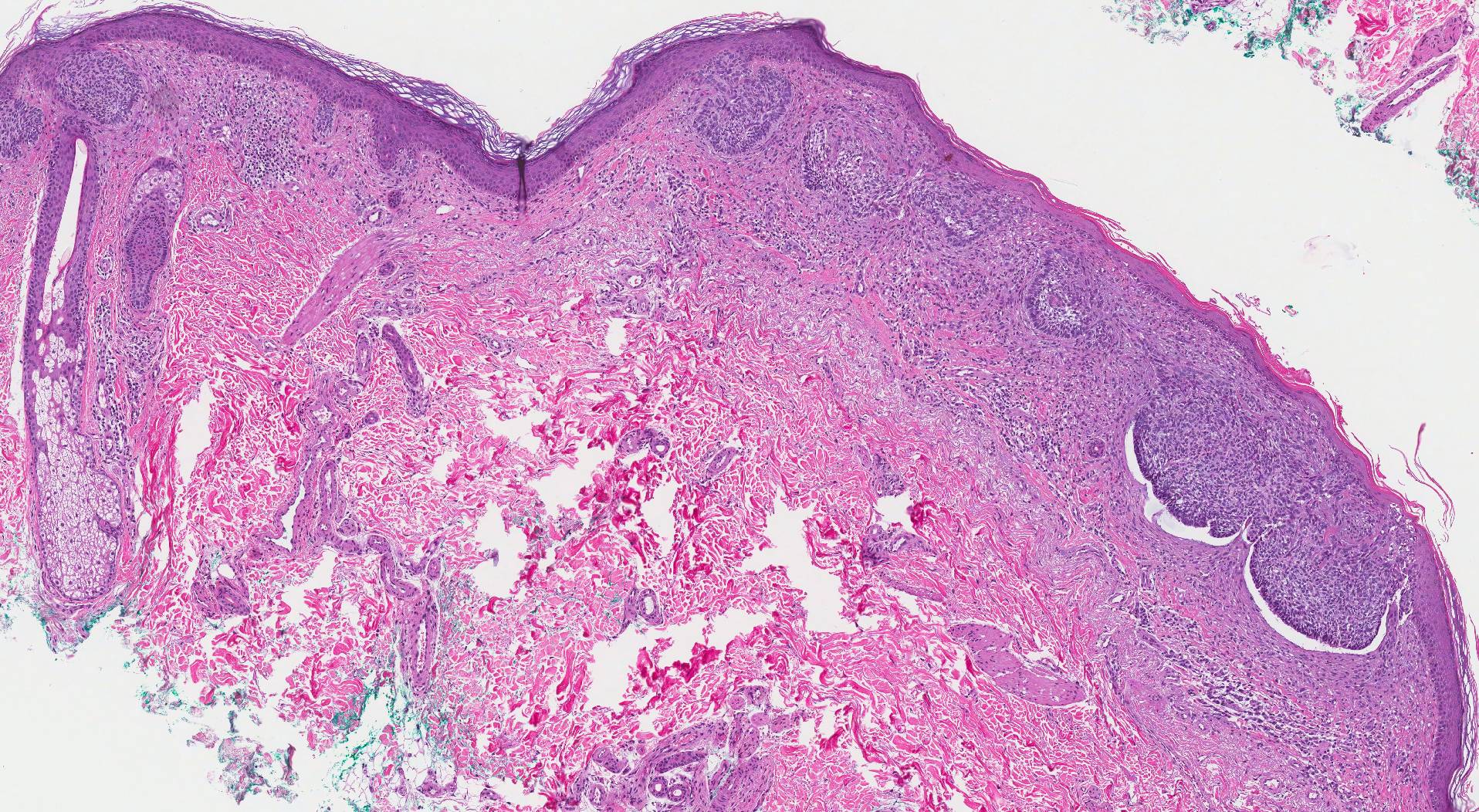
  • Вземете проба от подозрителна кожа за изследване (биопсия на кожата). Вашият лекар може да отстрани подозрително изглеждащата кожа за лабораторни изследвания. Биопсията може да определи дали имате рак на кожата и ако е така, какъв тип рак на кожата имате.

Определяне на степента на рак на кожата​

Ако Вашият лекар установи, че имате рак на кожата, може да имате допълнителни тестове, за да определите степента (стадия) на рака на кожата.

Тъй като повърхностните ракови заболявания на кожата, като базалноклетъчен карцином, рядко се разпространяват, биопсия, която често премахва целия растеж, е единственият тест, необходим за определяне на стадия на рака. Но ако имате голям плоскоклетъчен карцином, карцином на Меркел или меланом, Вашият лекар може да препоръча допълнителни тестове за определяне на степента на рака.

Допълнителните тестове могат да включват образни тестове за изследване на близките лимфни възли за признаци на рак или процедура за отстраняване на близкия лимфен възел и тестването му за признаци на рак (биопсия на сентинелен лимфен възел).

Лекарите използват римските цифри от I до IV, за да обозначат стадия на рака. Раковите заболявания в стадий I са малки и ограничени до областта, където са започнали. Етап IV показва напреднал рак, който се е разпространил в други части на тялото.

Етапът на рак на кожата помага да се определи кои възможности за лечение ще бъдат най-ефективни.

Лечение​

Вашите възможности за лечение на рак на кожата и предракови кожни лезии, известни като актинични кератози, ще варират в зависимост от размера, вида, дълбочината и местоположението на лезиите. Малките ракови заболявания на кожата, ограничени до повърхността на кожата, може да не изискват лечение освен първоначална кожна биопсия, която премахва целия растеж.

Ако е необходимо допълнително лечение, опциите могат да включват:

  • Замръзване. Вашият лекар може да унищожи актиничните кератози и някои малки ранни ракови заболявания на кожата, като ги замрази с течен азот (криохирургия). Мъртвата тъкан се отделя, когато се размрази.
  • Ексцизионна хирургия. Този вид лечение може да е подходящо за всеки тип рак на кожата. Вашият лекар изрязва (изрязва) раковата тъкан и околния ръб на здрава кожа. В някои случаи може да се препоръча широко изрязване - премахване на допълнителна нормална кожа около тумора.
  • Операция на Моос. Тази процедура е за по-големи, повтарящи се или трудни за лечение ракови заболявания на кожата, които могат да включват както базални, така и плоскоклетъчни карциноми. Често се използва в области, където е необходимо да се запази възможно най-много кожа, като например на носа. По време на операцията на Mohs вашият лекар премахва растежа на кожата слой по слой, като изследва всеки слой под микроскоп, докато не останат анормални клетки. Тази процедура позволява раковите клетки да бъдат отстранени, без да се заема прекомерно количество заобикаляща здрава кожа.
  • Кюретаж и електродесикация или криотерапия. След отстраняване на по-голямата част от израстъка, Вашият лекар изстъргва слоеве ракови клетки с помощта на устройство с кръгло острие (кюрет). Електрическа игла унищожава всички останали ракови клетки. Във вариант на тази процедура може да се използва течен азот за замразяване на основата и краищата на третираната зона. Тези прости, бързи процедури могат да се използват за лечение на базалноклетъчен рак или тънък сквамозноклетъчен рак.
  • Лъчетерапия. Лъчевата терапия използва мощни енергийни лъчи, като рентгенови лъчи, за да убие раковите клетки. Лъчевата терапия може да бъде опция, когато ракът не може да бъде напълно отстранен по време на операция.
  • Химиотерапия. При химиотерапията лекарствата се използват за унищожаване на раковите клетки. При ракови заболявания, ограничени до горния слой на кожата, кремове или лосиони, съдържащи противоракови агенти, могат да се прилагат директно върху кожата. Системната химиотерапия може да се използва за лечение на рак на кожата, който се е разпространил в други части на тялото.
  • Фотодинамична терапия. Това лечение унищожава раковите клетки на кожата с комбинация от лазерна светлина и лекарства, които правят раковите клетки чувствителни към светлина.
  • Биологична терапия. Биологичната терапия използва имунната система на тялото ви, за да убива раковите клетки.

Подготовка за вашата среща​

Уговорете час при семейния си лекар, ако забележите някакви необичайни кожни промени, които ви притесняват. В някои случаи може да бъдете насочен към лекар, който е специалист по кожни заболявания и състояния (дерматолог).

 

Тъй като срещите могат да бъдат кратки и тъй като често има много неща за покриване, добра идея е да сте добре подготвени. Ето малко информация, която да ви помогне да се подготвите и да знаете какво да очаквате от вашия лекар.

Какво можеш да правиш?​

  • Имайте предвид всички ограничения преди записване. Когато си уговорите час, не забравяйте да попитате дали има нещо, което трябва да направите предварително, като например да ограничите диетата си.
  • Запишете всички симптоми, които изпитвате, включително тези, които може да изглеждат несвързани с причината, поради която сте насрочили срещата.
  • Запишете ключова лична информация, включително всеки голям стрес или скорошни промени в живота.
  • Направете списък на всички лекарства, витамини или добавки, които приемате.
  • Помислете дали да вземете със себе си член на семейството или приятел. Понякога може да е трудно да запомните цялата информация, предоставена по време на среща. Някой, който ви придружава, може да си спомни нещо, което сте пропуснали или забравили.
  • Запишете въпроси, които да зададете на Вашия лекар.

Времето ви с вашия лекар е ограничено, така че изготвянето на списък с въпроси може да ви помогне да се възползвате максимално от времето си заедно. Избройте въпросите си от най-важните до най-малко важните, в случай че времето изтече. За рак на кожата някои основни въпроси, които трябва да зададете на Вашия лекар, включват:

  • Имам ли рак на кожата?
  • Какъв тип рак на кожата имам?
  • Ще имам ли нужда от допълнителни изследвания?
  • Колко бързо расте и се разпространява моят тип рак на кожата?
  • Какви са моите възможности за лечение?
  • Какви са потенциалните рискове от всяко лечение?
  • Операцията ще остави ли белег?
  • Имам ли повишен риск от допълнителни видове рак на кожата?
  • Как мога да намаля риска от допълнителни видове рак на кожата?
  • Трябва ли да правя редовни кожни прегледи, за да проверя за допълнителни видове рак на кожата?
  • Трябва ли да видя специалист? Какво ще струва това и ще го покрие ли застраховката ми?
  • Има ли генерична алтернатива на лекарството, което ми предписвате?
  • Има ли брошури или други печатни материали, които мога да взема със себе си? Какви уебсайтове препоръчвате?
  • Какво ще определи дали трябва да планирам последващо посещение?

В допълнение към въпросите, които сте готови да зададете на вашия лекар, не се колебайте да зададете и други въпроси, които ви хрумват.

Какво да очаквате от вашия лекар?​

Вашият лекар вероятно ще ви зададе редица въпроси. Ако сте готови да отговорите на тях, може да имате време да обхванете други въпроси, които искате да разгледате. Вашият лекар може да попита:

  • Кога за първи път забелязахте промени в кожата си?
  • Забелязали ли сте кожна лезия, която се е увеличила или променила?
  • Имате ли кожна лезия, която кърви или сърби?
  • Колко тежки са вашите симптоми?

Стартирай кампания