PavelAndreev.ORG
  • Кампании
    Подкрепи кауза или дарявай месечно
    Категории
    Фонд за лечение на деца в чужбина
  • Нюзрум
  • Информация
    Информация
    Контакти
    Помощен център
    Често задавани въпроси
    Как работи
    Такси
    Етичен кодекс за дарители
    Етичен кодекс за инициатори и бенефициенти
    Ограничения за кампании по държави
  • Вход Стартирай кампания
     
    BG

    Втора надежда за Майкъл малкото кутре

    Втора надежда за Майкъл малкото кутре
    0 Дарители
    0%
    Дарени: 0 EUR Цел: 1200 EUR
    Тази кампания е приключила. Следете секция Новини, за да сте в течение с новостите по нея и транзакциите (ако липсват, то значи все още кампанията не е разплатена).
    Организатор
    Веселина Алексова
    Крайна дата
    Приключила
    Налична сума
    0 EUR
    Веселина Алексова е организатор на кампанията

    Приключила
     
    Налична сума
     
    0 EUR
    Read the campaign text in English Read the campaign text in original language

    😭 СПЕШЕН АПЕЛ ЗА ПОМОЩ 😭
    До контейнер за боклук в село Караджово… там беше оставено да умира едно малко бебе кутре. 💔момче( кръстих го Майкъл)
    Само, уплашено и в ужасна болка…
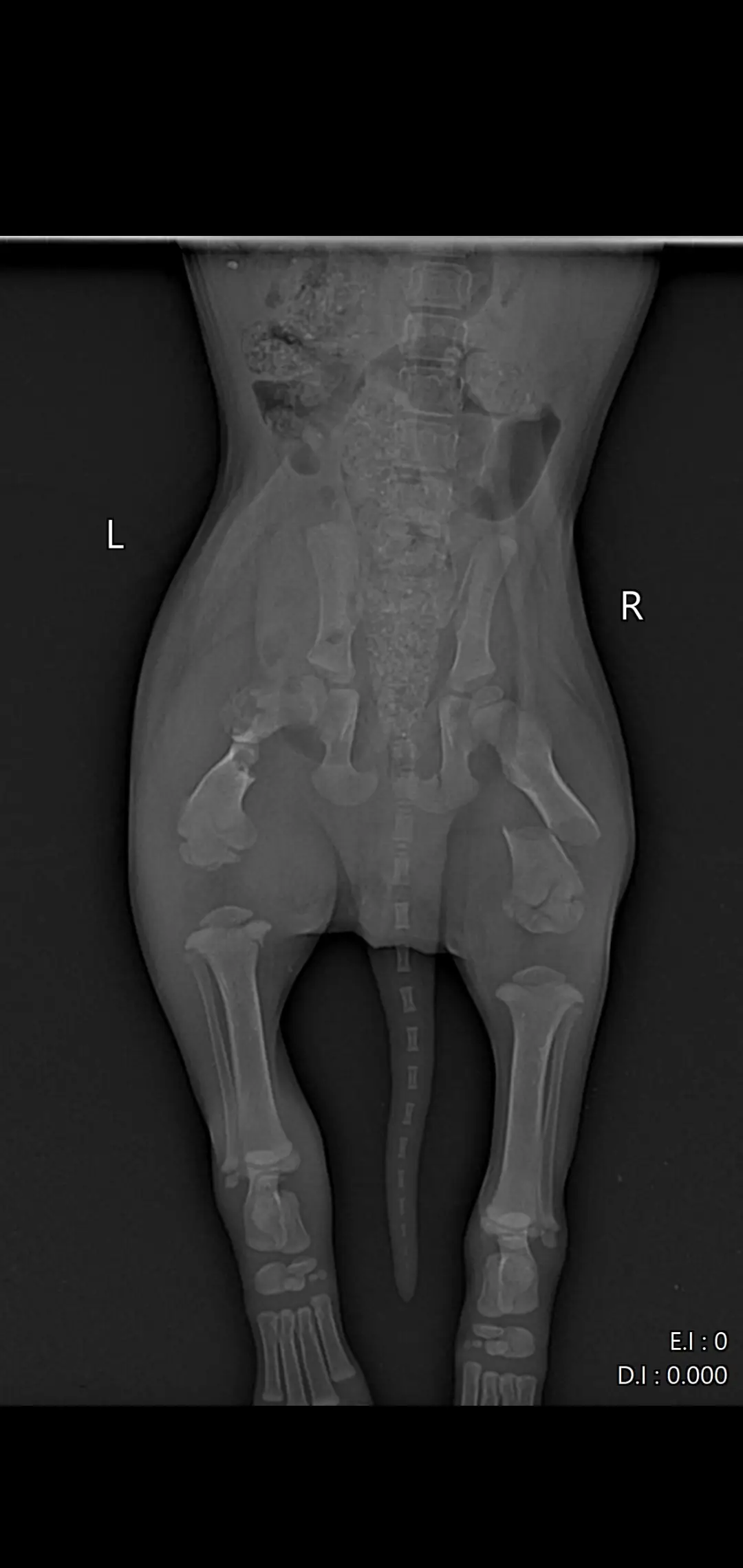
    Намерих го в тежко състояние – със счупен таз и две счупени крачета. Не може да се движи, плаче при всяко докосване, но въпреки всичко се бори  да живее. 🐶😭
    Бях с него във ветеринарна клиника „Провет“ в Пловдив (Тракия). Лекарят др Ташев го прегледа,оператор д-р Пачев (младши) ми каза, че има шанс да живее, но е нужна спешна операция и за двете крачета, която струва 1200 евро 😔
    📸 Прилагам снимки от рентгена, за да видите колко тежко е състоянието му…плюс какво му беше изписано и направено в клиниката
    Тази сума е непосилна за мен, но за него това е шанс за живот… шанс отново да проходи и да живее без болка. 🙏
    🙏 Моля ви, помогнете !
    Всяко споделяне може да спаси живот!

    Виж още
    0 Дарители
    0%
    Дарени: 0 EUR Цел: 1200 EUR
    Тази кампания е приключила. Следете секция Новини, за да сте в течение с новостите по нея и транзакциите (ако липсват, то значи все още кампанията не е разплатена).
    Дарители (Общ брой дарители: 0)

    Сумите в секция Дарители са със спадната транзакционна такса.

    Въведохте по-голяма сума за платформата отколкото за бенефициента!
    PavelAndreev.ORG се финансира и поддържа от сумата, която всеки дарител оставя за платформата, а не с част от даренията за бенефициентите. Благодарим ви от сърце!

    Забелязахме, че сте въвели сума за платформата, която е по-висока от сумата за дарението към бенефициента. Дарението е емоционален акт и ако това е неправилно, Ви молим да промените сумата преди да продължите.

    Лесно да дарите, прегледност на новините и пълно доверие в нас

    Лесно е да дарите

    6 лесни начина да направите своето дарение - карта, PayPal, ApplePay, GooglePay, Revolut, IBAN.

    Прегледен отчет

    В секция Новини ще откриете информация от инициаторите на кампаниите.

    Доверена платформа

    PavelAndreev.ORG е най-сигурната платформа за организиране на следващата ти кампания.

    1. PavelAndreev.ORG
    2. Кампании
    3. Втора надежда за Майкъл малкото кутре
    • Публикувано     23.03.26
    • Обновено     01.05.26
    • 17
    • Животни
    • Balgariya (България)
    Помогни като споделиш

    Директен линк

    Facebook Messenger Viber X WhatsApp Telegram

    Общи

    Контакти За PavelAndreevORG Кой е Павел Андреев? Нюзрум Блог .

    Кампании

    Последни новини Лечение, медицина и рехабилитация Деца и младежи Изкуство, култура и общество Животни Градска среда и строителство Семейство Празници и събития Бежанци и мигранти Спорт

    Информация

    Помощен център Често задавани въпроси Как работи Такси Лични данни Общи условия Бисквитки Етичен кодекс за дарители Етичен кодекс за инициатори и бенефициенти Ограничения за кампании по държави

    Социални медии

    Павел Андреев (CEO)
    България
    Македония
    Румъния и Молдова
    PavelAndreev.ORG е международна платформа за организиране на кампании за набиране на средства, управлявана от Фондация „Павел Андреев". Седалище и адрес на управление: България, гр. Варна, бул. „Генерал Колев" №113, сграда "Никулицел", ЕИК: 206678629. Всички дарения, направени през платформата, се събират и администрират в България от екипа на Фондацията. Кампаниите се управляват също от централния екип в България. Към момента организацията не е регистрирана като местна структура в други държави.
    PavelAndreev.ORG е международна платформа за организиране на кампании за набиране на средства, управлявана от Фондация „Павел Андреев". Седалище и адрес на управление: България, гр. Варна, бул. „Генерал Колев" №113, сграда "Никулицел", ЕИК: 206678629. Всички дарения, направени през платформата, се събират и администрират в България от екипа на Фондацията. Кампаниите се управляват също от централния екип в България. Към момента организацията не е регистрирана като местна структура в други държави.