Последвайте ни:
[email protected]
Към сайта
Форуми
Нови постове
Търсене на форуми
Медия
New media
New comments
Search media
Ресурси
Последни прегледи
Търсене на ресурси
Търсене
Everywhere
Ресурси
This category
Search titles only
By:
Everywhere
Ресурси
This category
Search titles only
By:
Log in
Register
Търсене
Everywhere
Ресурси
This category
Search titles only
By:
Everywhere
Ресурси
This category
Search titles only
By:
Последни прегледи
Търсене на ресурси
Menu
Install the app
Install
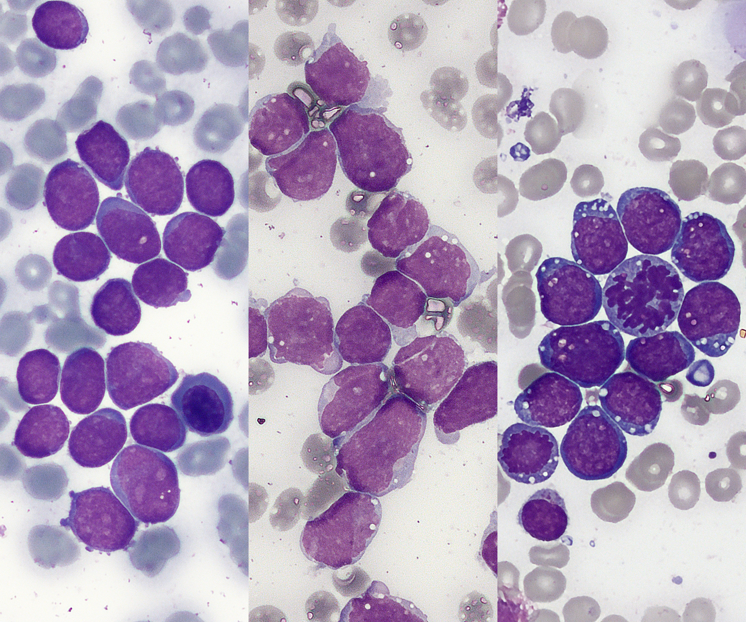
Остра лимфобластна левкемия при деца: Причини, симптоми и лечение
2023-05-09
Download
Author
TsankoStefanov
Creation date
9 May 2023
Tags
в-клетъчна остра лимфобластна левкемия
остра левкемия
остра лимфобластна левкемия
Ресурси
Детско здраве
JavaScript is disabled. For a better experience, please enable JavaScript in your browser before proceeding.
You are using an out of date browser. It may not display this or other websites correctly.
You should upgrade or use an
alternative browser
.
Overview
History
Version
Release date
Downloads
Rating
2023-05-09
9 May 2023
752
0.00 star(s)
0 ratings
Download
Ресурси
Детско здраве
Top
Bottom